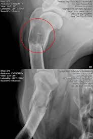
Signs Of Bone Cancer In Dogs Leg - Dr Wiltzius Shares Canine Bone Cancer Diagnosis Staging And What To Expect - Osteosarcoma is a word derived from osteo, meaning bone, and sarcoma, meaning cancer.
Get link
Facebook
X
Pinterest
Email
Other Apps
Signs Of Bone Cancer In Dogs Leg - Dr Wiltzius Shares Canine Bone Cancer Diagnosis Staging And What To Expect - Osteosarcoma is a word derived from osteo, meaning bone, and sarcoma, meaning cancer.. They can include swelling, lameness, and joint or bone pain. Veterinarians often use the phrase away from the elbows & toward the knees to remember the anatomically predisposed sites, including: Dog bone cancer warning signs sometimes bone cancer makes a sudden appearance as a lump in the leg, or in worst case scenario, as a pathologic fracture. When the tumor first appears, the site usually looks slightly swollen. Or a dramatic, sudden fracture.
Sadly, the outlook for a dog with an osteosarcoma. Symptoms of bone cancer in dogs can appear subtly, especially in the early stages of the disease. Sometimes a biopsy is performed by taking a small piece of bone and testing it. Types of bone cancer in dogs 1. Leg amputation surgery in pets.
8 Types Of Dog Tumors And How To Treat Them Tumors In Dogs Petmd from www.petmd.com Since the tumor starts deep within the bone, your dog may not feel any pain or discomfort in the early stages. As the tumor continues to grow, the bone containing the tumor will expand. In addition, it depends on the primary site of the tumor. Since we can't ask our dogs how they are feeling each day, it's important to understand the signs of a sick dog. They can include swelling, lameness, and joint or bone pain. Osteosarcoma is the most common primary bone tumor of dogs and nearly 10,000 dogs are diagnosed with this cancer each year. (most dogs with this kind of cancer do not survive beyond a year with amputation alone. By j weatherford (marietta ga) we discovered yesterday that max has bone cancer in his left rear leg.
Osteosarcoma is a common dog cancer in large breeds, and it most often affects the long bones of the legs.
Other types of bone cancer include chondrosarcoma, fibrosarcoma, and hemangiosarcoma. Osteosarcoma is a common dog cancer in large breeds, and it most often affects the long bones of the legs. Most dogs will show signs of swelling and soreness in limbs close to joints. Usually, osteosarcoma develops in the long bones of the front legs, though the rear legs, jaw, face. Symptoms of bone cancer in dogs: If you decide to proceed with amputation, you will admit your pet into the hospital either the day before or the morning of surgery. Canine bone cancer may be part of the diagnosis. Sometimes a biopsy is performed by taking a small piece of bone and testing it. They can include swelling, lameness, and joint or bone pain. The early signs of bone cancer in dogs can difficult for pet parents to recognize since symptoms tend to be subtle. Symptoms and types many signs of bone cancer are subtle. (most dogs with this kind of cancer do not survive beyond a year with amputation alone. Canine bone cancer symptoms osteosarcoma tumors typically form in a dog's long bones, or growth bones, and are found frequently below the elbow or near the knee or shoulder.
Signs and symptoms of bone cancer in dogs. Osteosarcoma is a common dog cancer in large breeds, and it most often affects the long bones of the legs. Osteosarcomas are painful tumours that often first appear as hot, solid, tender swellings. As the tumor continues to grow, the bone containing the tumor will expand. Mast cell tumors are cancer of these cells, and they.
Bone Cancer Osteosarcoma In Dogs Canna Pet from g77v3827gg2notadhhw9pew7-wpengine.netdna-ssl.com Morgan has regained his weight and appetite. In addition, it depends on the primary site of the tumor. Signs and symptoms of bone cancer in dogs. Symptoms of bone cancer are pain, swelling and sometimes bone breakage. Osteosarcoma is the most common bone tumor is dogs, accounting for 85% of all bone tumors. By j weatherford (marietta ga) we discovered yesterday that max has bone cancer in his left rear leg. Osteosarcomas are painful tumours that often first appear as hot, solid, tender swellings. Some of the signs that it's time to say goodbye to a dog with cancer include:
Tumor growth destroys healthy tissue, causing the bone to swell.
Dog bone cancer warning signs sometimes bone cancer makes a sudden appearance as a lump in the leg, or in worst case scenario, as a pathologic fracture. As the tumor continues to grow, the bone containing the tumor will expand. Washington ( circa) — osteosarcoma (osa) is one of the most common forms of bone cancer seen in veterinary patients. Osteosarcoma is a type of bone cancer. Other types of bone cancer include chondrosarcoma, fibrosarcoma, and hemangiosarcoma. Since we can't ask our dogs how they are feeling each day, it's important to understand the signs of a sick dog. How to help our mastiff with bone cancer. While tumors usually occur in the long bones of the limbs, osteosarcoma can affect any bone. It's the cancer of the bones. Osteosarcoma is the most common bone cancer in dogs. Symptoms of bone cancer in dogs: Osteosarcoma (osa) at the top of the list, osteosarcoma is the most prevalent type of bone cancer in dogs. Sometimes a biopsy is performed by taking a small piece of bone and testing it.
The early signs of bone cancer in dogs can difficult for pet parents to recognize since symptoms tend to be subtle. Morgan has regained his weight and appetite. A normally energetic dog may begin fatiguing after walking or playing. The total length of anesthesia time is usually three to four hours. He is a 9 1/2 yr old english mastiff with a heart of gold!
Osteosarcoma Bone Cancer In Dogs from www.aspcapetinsurance.com Sadly, the outlook for a dog with an osteosarcoma. While tumors usually occur in the long bones of the limbs, osteosarcoma can affect any bone. This bone cancer grows very quickly and frequently spreads to other areas of the body, especially lymph nodes, lungs and other bones. The total length of anesthesia time is usually three to four hours. Lameness caused by osteosarcoma is typically mild at the onset, but then progresses over time. Osteosarcomas are painful tumours that often first appear as hot, solid, tender swellings. Osteosarcoma is a type of bone cancer. Sometimes a biopsy is performed by taking a small piece of bone and testing it.
Some of the signs that it's time to say goodbye to a dog with cancer include:
Tumor growth destroys healthy tissue, causing the bone to swell. Leg amputation surgery in pets. Osteosarcoma (osa) at the top of the list, osteosarcoma is the most prevalent type of bone cancer in dogs. He is walking comfortably without limping and is able to run around a bit in the yard. This is a major operation, and the serious complications rate is up to 5%, with a fatality rate of less than 1%. Responsible for 85% of all malignancies of a dog's. Most dogs will show signs of swelling and soreness in limbs close to joints. Mast cell tumors are cancer of these cells, and they. By j weatherford (marietta ga) we discovered yesterday that max has bone cancer in his left rear leg. Dog bone cancer warning signs sometimes bone cancer makes a sudden appearance as a lump in the leg, or in worst case scenario, as a pathologic fracture. The total length of anesthesia time is usually three to four hours. If however, your dog appears to be in pain, or is holding a leg completely off the ground and refuses to put weight on it, an immediate vet appointment is crucial. While tumors usually occur in the long bones of the limbs, osteosarcoma can affect any bone.
Shm (sertifikat hak milik) adalah jenis sertifikat yang pemegangnya memiliki kekuasaan penuh sebagai pemilik dari lahan di sebuah kawasan dengan luas tertentu yang tercantum dalam surat dengan waktu yang tidak terbatas. Di mana terdapat pabrik kayu milik termohon pailit, departemen keuangancq direktorat jenderal pajak cq kantor pelayanan pajak kpp pratama cikarang selatan dan pt bank negara indonesia (bni) tbk. Contoh loi atau surat minat membeli properti ( 164,961 ) memahami hak tanggungan, sertifikat hak tanggungan, roya dan prosesnya ( 159,412 ) panduan cara menjual tanah warisan ( 125,308 ) tandatangan dulu atau transfer dulu? Ada surat dan atau ada penguasaan fisik), artinya bagi individu atau masyarakat yang telah menguasi fisiknya walaupun tidak dapat dibuktikan dengan surat, maka yang bersangkutan dapat memperjualbelikan tanah tersebut; Yang akan menjadi materi pembahasan kita kali ini adalah mengenai contoh surat keterangan usaha (sku). ...
How To Make A Birthday Card On Microsoft Word / How to Make Birthday Cards with Microsoft Office (with ... - Click on file from the top left corner. . You can then change the colour and size of your text. In this 'how to create a greeting card in word' i give you all the essential tools you need to create a customisable greeting card. Use as is or easily change fonts or colors. Use this blank canvas to add your own ideas on what a greeting card can be. If you need an envelope for your personalized birthday card, microsoft office also allows you to print custom envelopes. Use ms word to make simple and easy birthday card. Making and decorating greeting cards require time and patience, however, it is a fulfilling task to accomplish especially if the card is meant to be given to a special person. In word, create a new document. This custom card examples shows how to add custom pictur. Set up orientation and layout. ...
How To Make Air Miles Card : Rack Up Credit Card Rewards And Win Visual Ly : $125 annual united purchase credit. . Buy, gift or transfer miles , opens another site in a new window that may not meet accessibility guidelines. Make your next trip even more rewarding! Use your miles for travel on american airlines, american eagle ®, one world ® airlines and partner airlines on flights to nearly 1,000 destinations worldwide. Your email address will only be used by the air miles reward program to send you offers and information from air miles and its partners and suppliers. You get 1 air miles ® reward mile for every $12 spent on all purchases, and 3x the miles when using the credit card at participating partners. Award travel with most of our partners can be booked online. Earn miles on how far you fly, not how much you spend. Earn 1 air miles® reward mile for every $20* you spend cumulatively at atlantic foodland and atlantic sobeys stores during the week (sunday to satu...
Comments
Post a Comment